Cookie Consent by Free Privacy Policy Generator
Airport Dental Cork
Airport Dental Cork

Six Month Smiles in Cork

Big Smiles in a Small Amount of Time

Nature doesn’t guarantee a perfect smile for everyone, but that doesn't mean you can’t cheat nature!

Six Month Smiles is a unique tooth straightening system that focuses only on the front- rather than all- your teeth to deliver an amazing smile in a very short period of time.

For suitable patients, it’s an effective, safe and affordable straightening system that suits just about everyone’s lifestyle- no matter how busy they are. The treatment is non-invasive, built with modern materials and can give you a brilliant smile in months, rather than years like traditional metal braces. Best of all they are nearly invisible!

So say ‘Goodbye’ to a crooked smile and restore your smile in a lot less time than you might have imagined.

Have a chat with Dr Eoin Mills
about straightening your teeth

Dr Eoin Mills

Amazing Results

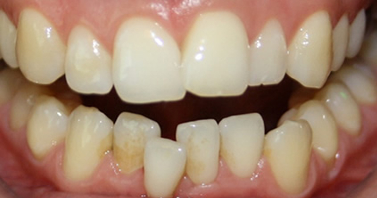
Before Treatment
Airport Dental Implant Centre Cork

After Treatment
Airport Dental Implant Centre Cork


Before Treatment
Airport Dental Implant Centre Cork

After Treatment
Airport Dental Implant Centre Cork


Before Treatment
Airport Dental Implant Centre Cork

After Treatment
Airport Dental Implant Centre Cork

FAQs

How does the Six Month Smiles treatment work?

Six Month Smiles uses the latest technology in clear braces. They work like normal braces but instead of changing the position of your bite, it focuses mainly on the teeth that show when you smile, also known as the ‘Social Six’.

Will the treatment damage my teeth?

No. In fact, because the system uses lighter forces and are less likely to require any tooth extractions, there are usually fewer risks involved than with traditional braces.

Will I need to wear a retainer after the treatment?

Yes. Like most teeth-straightening systems you will need to wear a retainer to keep your teeth in their new position when the treatment has been completed. In most cases, we will provide you with both a fixed and removable retainer.