Cookie Consent by Free Privacy Policy Generator
Airport Dental Cork
Airport Dental Cork

Tooth Whitening in Cork

Whiter & Brighter Smiles

Every day, each of us consumes food and drinks that can have a very slow, but eventually very noticeable effect, on the appearance of our teeth- making them dull and discoloured.

One of the easiest and most effective ways to achieve a radiant smile that can really boost your confidence is to give your smile a new sparkle with one of our tooth whitening treatments- daytime or night-time treatments.

Both are great ways to fight back against natural tooth discolouration and will revitalise your smile- quickly, safely and effectively, in the comfort of your own home.

tooth whitening in Cork

Daytime Whitening

We create custom-made trays that you fill with the whitening agent.

You will wear these trays for 30 minutes everyday for 10-14 days, after which you should see a remarkable change in the appearance of your teeth.


Night-time Whitening

Like the Daytime Whitening system, this treatment uses the same custom-made trays that fit comfortably over your teeth. This process involves using a tooth whitening gel, which is applied overnight.

In 10-14 days your smile will be noticeably brighter and healthier looking.


Amazing Results

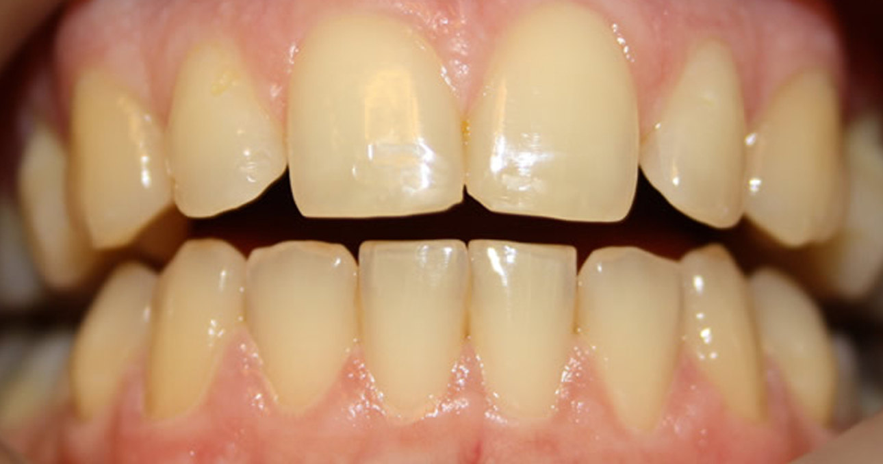
Before Treatment
tooth whitening in Cork - Airport Dental Implant Centre Cork

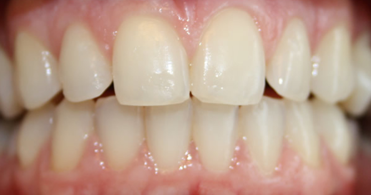
After Treatment
tooth whitening in Cork - Airport Dental Implant Centre Cork


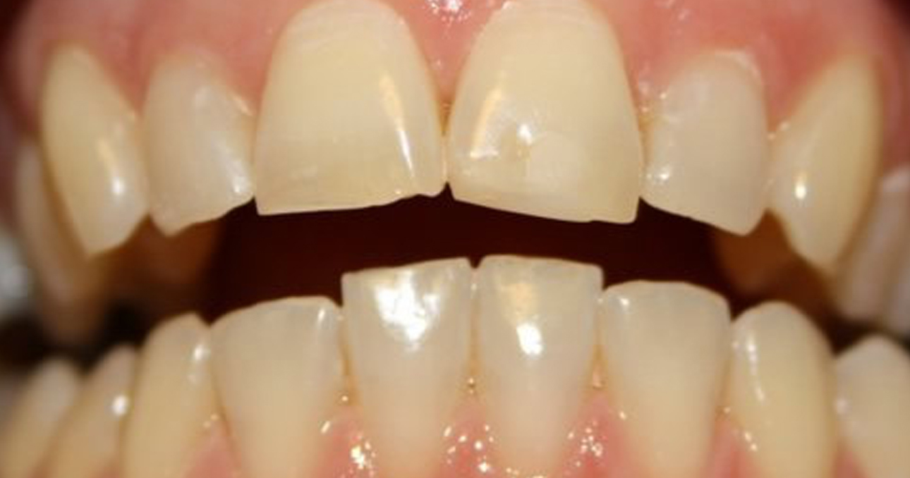
Before Treatment
tooth whitening in Cork - Airport Dental Implant Centre Cork

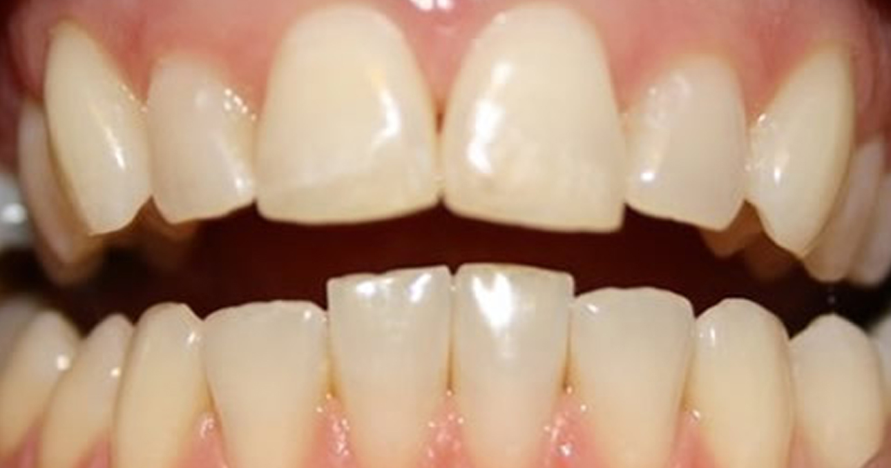
After Treatment
tooth whitening in Cork

FAQs

Will Whitening My Teeth Make Them More Sensitive?

When done correctly and safely, you shouldn’t feel any pain or discomfort from the tooth whitening process but, occasionally, your teeth may be a little more sensitive. However, if you have naturally sensitive teeth, we can provide a desensitising gel for you to use for a few weeks before you begin the whitening treatment.

Is there a difference between a dentist’s home whitening kit and one I can buy at the chemist?

Yes. Our home whitening kit can produce faster, more effective results and they are much safer. Our trays are custom-made, unlike store bought trays, so there is less chance of the whitening agent causing irritation, plus we can monitor your progress so that you achieve the results you want.

Will the treatment damage my teeth?

The tooth whitening treatments we use at Airport Dental are incredibly safe, and as long as your teeth are healthy and the treatment is done correctly, you should have no problems whatsoever. Keep in mind that the whitening agents we use only react to your natural tooth enamel, which means any crowns or veneers will not be affected.